Kinetoterapia bebelușului
Terapia Bobath
Terapia Bobath este o metodă de reeducare motorie care se adresează copiilor cu tulburări de mișcare și de tonus în cadrul afectării neurologice de tip central.
În cadrul acestor afecțiuni, copilul prezintă tulburări senzoriale, tonus muscular crescut (spasticitate), dezvoltând posturi anormale care îl împiedică să facă mișcări active.
Terapia va ajuta la normalizarea tonusului, prin adoptarea posturilor „reflex inhibitorii” și obținerea controlului asupra mișcării și echilibrului.
Este practic un „concept de viață”, copilul fiind dirijat prin toate etapele de dezvoltare motorie.
Terapia Vojta
Terapia Vojta se adresează prematurilor (începând cu 28 de săptămâni), nou-născuților cu risc, copiilor și adolescenților cu tulburări neurologice, de postură sau probleme ortopedice.
Terapia constă în stimularea mișcărilor reflexe prin aplicarea unor presiuni relativ punctiforme în zone și direcții precise.
Această terapie este foarte utilă în special copiilor foarte puțin activi din punct de vedere motric.
Mișcări ale globilor oculari, stimularea deglutiției și a respirației, prinderea unei jucării, târârea, rostogolirea și verticalizarea pot fi stimulate cu ajutorul terapiei Vojta.
Terapia prin realitate virtuală
Este o terapie care include sisteme inovative de ultimă generație, cu ajutorul căreia realizăm activități de evaluare, de antrenament și recuperare în cadrul clinicii Right Hand.
În acest sens, clinica este dotată cu Sistemul Homing care descrie un scenariu (o lume virtuală) cu care copilul poate interacționa în cele 3 dimensiuni, astfel încât să simtă că face parte din această scenă.
Cu ajutorul unei camere 3D, sistemul recunoaște în timp real articulațiile corpului și fiecare mișcare efectuată în zona de operare.
Pacientul se poate vedea pe ecran prin intermediul unui avatar pe care îl poate controla prin gesturile pe care le face.
Se realizează astfel un antrenament motor țintit, ghidat de un terapeut, unde stimulul vizual este completat de cel auditiv și unde copilul primește un bio-feedback in timp real.
Antrenăm astfel:
– agilitatea – viteza de executie a unei sarcini
– mobilitatea articulara
– rezistența musculara prin cresterea dificultatii in functie de timp sau asocierea cu greutati
– echilibrul si coordonarea
– abilitatile cognitive și/sau decizionale (evitarea anumitor tinte)
Prin aceasta modalitate ajungem la ameliorarea functionala atat a membrului inferior (prin castigarea in tonus si control motor, imbunatatirea echilibrului si a mersului) cat si a membrului superior (prin ameliorarea mobilitatii articulare, a tonusului muscular, a coordonarii).
Experienta noastra clinica in domeniul Recuperarii Pediatrice cat si studiile clinice arata importanta motivatiei si a jocului in terapia de recuperare . Implementarea jocurilor pe calculator în terapia fizică si de recuperare la copil este sustinuta de caracteristici precum atractivitatea, motivația și implicarea. Aceste caracteristici sunt variabile importante în intervențiile de recuperare, deoarece implică sistemele dopaminergice cerebrale legate de “recompense”, despre care se știe că facilitează învățarea prin potențarea pe termen lung a conexiunilor neuronale.
Integrarea a jocului in terapia fizica a Aportul acestora in cresterea compliantei micilor pacienti cat si cresterea eficientei terapeutice este incontestabila.
Realitatea virtuala ofera posibilitati multiple copiilor aflati in recuperare cu diverse afectiuni, facilitand miscarea libera, dar in acelasi timp coordonata, tintita a acestora intr-un mediu virtual. S-a demonstrat eficienta acesteia, nu numai in tulburarile neurologice dar si a altor afectiuni de tipul statusului post TCC [10], autismului [11], durerii la copil [12], dislexiei [13] etc.
La copii cu tulburari de dezvoltare [14] sau cei cu paralizie cerebrala [15], studiile arata ca realitatea virtuala amelioreaza semnificativ complianta pacientilor si creste eficienta exercitiilor, in comparativ cu terapia conventionala.
Terapia Galileo
Galileo System este un dispozitiv medical care se foloseste in sedintele de kinetoterapie si are la baza miscarea pe baza de vibratii de diferite intensitati. Miscarea vibratorie simuleaza mersul uman, iar schimbarea intensitatii vibratiilor supune corpul la un antrenament muscular special conceput.
La cine o folosim?
la copiii cu paralizii cerebrale (tetrapareza, hemipareza, dipareza);
pentru copiii cu distrofie musculara Duchenne;
in caz de tulburare de statica vertebrala (scolioza);
pentru castigarea echilibrului si stimulare vestibulara.
pentru copiii ce urmeaza programe de stimulare a coordonarii si concentrare a atentiei.
Care sunt efectele terapiei prin vibratii?
stimularea proprioceptiei;
imbunatatirea echilibrului si coordonarii;
cresterea fortei musculare;
cresterea mobilitatii articulare;
regleaza tonusul muscular.
Utilizarea acestui dispozitiv medical este complementara terapiei clasice si se aplica doar la recomandarea kinetoterapeutului care realizeaza programul de recuperare.
Ce rol areplaca de vibratii Galileo?
Principiul Galileo se bazeaza pe miscarea naturala a mersului uman. Miscarea alternativa laterala Galileo este similara cu o miscare normala cu amplitudine si frecventa variabila, si, prin urmare, stimuleaza un model de miscare similar cu mersul uman. Miscarea rapida a platformei de antrenament determina o miscare de inclinare a pelvisului, la fel ca in timpul mersului, dar cu o frecventa mult ridicata. Pentru a compensa, corpul raspunde cu contractii musculare ritmice, alternand intre partea stanga si cea dreapta a corpului. De la o frecventa de aproximativ 10 hertz, aceste contractii musculare nu sunt un proces constient, ci, mai degraba, sunt un reflex. Acest reflex de intindere activeaza muschii picioarelor, ai stomacului si ai spatelui.
În timpul terapiei Galileo, sunt vizați întregi mușchi ai piciorului și trunchiului. Antrenamentul specific al grupelor musculare individuale se poate realiza prin simpla schimbare a posturii si a tensiunii corporale.
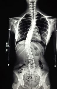
Kinetoterapia în scolioză și cifoză
Metoda tridimensională Schroth
Pacientul scoliotic va beneficia de o terapie adecvată, care înțelege și respecta mecanismul patogenic.
Terapia Schroth este o metoda de corecție posturală 3D activă combinată cu respirație rotațională și corecția percepției posturale.
Metoda a fost dezvoltată de Katharina Schroth în 1920, o doamnă care suferea de scolioză și care a încercat să-și corecteze propria deformare. Inspirată de modul în care este umflat un balon, a inițiat și antrenat respirația în părțile concave ale trunchiului din fața unei oglinzi.
Ea a conștientizat corectarea posturală 3D cu o serie de exerciții corective menite să susțină o postură corectată și a reusit sa schimbe percepția posturală a persoanei care suferă de scolioză.
Datorită succesului, metoda a căpătat atenție la nivel internațional, fiind una din cele mai studiate și utilizate metode în abordarea scoliozei idiopatice.
Astfel dar, astăzi, noi deținem o varianta actualizată și documentată științific.
Metoda Schroth stopează și chiar reduce curbura scoliotică, îmbunătățește aspectul estetic al spatelui, creste capacitatea respiratorie, previne intervenția chirurgicală.
Un alt avantaj al acestui program constă în aplicarea lui in cadrul activităților zilnice obișnuite, în scopul adoptării posturilor corective ce au ca efect reduce progresiei și a durerii, ceea ce permite pacienților să petreacă mai mult timp în activități de agrement și să ducă o viață normală.


